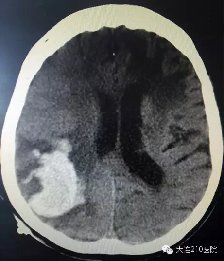
刘老太太已77岁,独居多年,虽已高龄,但生活仍可自理,入院三天前不明原因陷入昏迷,家属发现后立即送往第210医院就诊,排查头部CT发现颅内存在巨大血肿,病情危重,需要立即在全身麻醉条件下行开颅手术。

立体定向引流术前 头部CT发现颅内存在巨大血肿
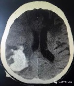
考虑到患者卧床三日未进水食,生命体征紊乱并伴有严重肺部炎症,难以耐受全身麻醉,神经外科陈岩主任了解病情后,建议采用本科特色技术——颅内血肿立体定向钻孔引流术,局部麻醉条件下,仅用一根软管排出颅内血肿。

立体定向引流术后 仅用一根软管排出颅内血肿
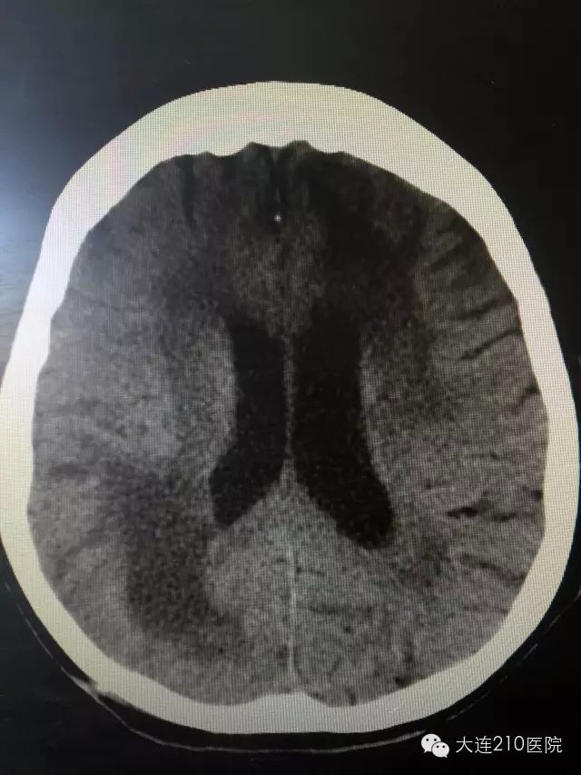
在家属的信任支持下成功施行微创手术,术后第二日,刘老太太便醒来与周围人正常交流,家属喜出望外并对这一技术表示高度认可,经过十余日悉心照顾,病人现已康复出院。

出院前 CT显示颅内血肿彻底消除
脑立体定向技术历时百年,现已从有框架脑立体定向阶段迈向无框架脑立体定向阶段。
第210医院神经外科在大连地区率先引入最新型“机器人辅助无框架立体定向仪”,填补了大连地区脑外科微创手术的空白,经过长年临床经验积累,已将手术规划系统、导航系统与操作平台完美结合,简化定向过程,拓宽了应用范围,提高了手术安全性,与有框架脑立体定向相比,明显减轻患者痛苦,缩小损伤范围,缩短操作时间,可广泛应用治疗脑出血、精神病、帕金森病、舞蹈病、慢性疼痛、癫痫、深部肿瘤内放射等治疗。

无框架立体定向仪
第210医院神经外科率先在国内提出了“脑出血手术不开刀”的先进理念,配合脑无框架立体定向技术与先进的医学影像技术,以定向仪代替肉眼直视、以机械臂代替手臂,在局部麻醉条件下,最少的组织损伤基础下,利用软通道穿刺技术,于颅骨上钻黄豆大小孔洞,将软管置入血肿腔内,通过软管注入药物促进腔内血肿液化,从而利用颅压将液化的血肿彻底清除。钻孔手术的简洁化、微创化,避免了开颅所致大面积创伤、减少了术中出血及术后疼痛、大大降低伤残率、节省了医疗费用、无需全身麻醉、无需担忧年龄及慢性病的限制、无需漫长的术前等待,切口愈合不会影响容貌,一次置管即达病灶,精度可达毫米。
















