中国好军医>>典型病例 >>正文
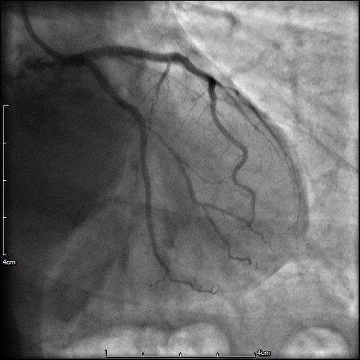
成功植入支架后复查造影
冠脉旋磨磨头
人民网 新华网 新华军事 中国网 央视网 中青网 东方网 千龙网 中国日报 国际在线 中国广播网 中国西藏网
解放军总医院 302医院 303医院 304医院305医院 306医院 307医院 309医院 海军总医院 空军总医院 二炮总医院 武警总医院 二医大长海医院 二医大长征医院 三医大西南医院 三医大新桥医院 四医大西京医院 四医大唐都医院 沈阳军区总医院 202医院 210医院 南京军区总医院 南京军区福州总医院 兰州军区总医院 广州军区总医院 广州军区武汉总医院 济南军区总医院 成都军区总医院 乌鲁木齐总医院