作者简介:顾建文,著名脑外科专家,博士导师,解放军第306医院院长,主任医师,全军神经外科副主委,中华医学会理事。
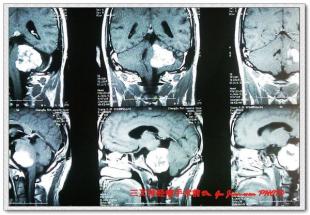
一患者脑袋怕震,怕环境噪声,发现为三叉神经鞘瘤,经过手术切除恢复良好。
三叉神经鞘瘤约占脑瘤的0.2%~1%。可起源于三叉神经的任何节段,但以美克尔(Meckel)囊内为多。属良性肿瘤,生长缓慢。按部位分为颅中窝型、颅后窝型及哑铃型3种。
临床表现主要有三叉神经本身和邻近结构受累的症状和颅内压增高症状。根据肿瘤位置的不同,临床表现如下:
1、颅中窝型:早期多以三叉神经本身受累的症状为主,其表现类似原发性三叉神经痛者约占1/3,为发作性剧痛。三叉神经分布区感觉减退者较多,但有时仅有角膜反射减弱,不可忽略。运动根受累者甚少,或至晚期方始出现。当肿瘤累及邻近结构,特别是肿瘤发展至海绵窦及眶上裂等部位,则出现其它脑神经受累症状,如病侧眼球运动障碍、复视、眼球突出及视力、视野改变等。其中以展神经和动眼神经瘫比较明显,瞳孔常有散大,光反射迟钝。眼球突出约占1/3至1/2,可能系海绵窦受压,影响眼静脉回流,或肿瘤直接经眶上裂突入眶内的结果,眼底静脉常有淤血。若肿瘤向前发展压迫视神经和视交叉时,则有视神经原发性萎缩、视力减退和视野缺损甚至失明。此型颅内压增高症状出现较晚亦较轻。有时肿瘤如鸭蛋大小并无颅内压增高症状。
2、颅后窝型:肿瘤多起源于三叉神经根。运动根受累的症状多较突出,如颞肌及咀嚼肌无力、萎缩等。临床表现为三叉神经痛者极少,但感觉减退可早期出现,且多系第1、2、3支同时受累,也可能仅有角膜感觉减退。肿瘤压迫第7、8对脑神经时,可引起面肌抽搐、周围性面瘫、耳鸣、听力减退,前庭功能亦受累。肿瘤靠近小脑幕者,有第9、10、11对脑神经受损的症状。小脑受压时,多有共济失调。如脑干受压或移位,常出现对侧或同侧锥体束征。一般颅内压增高症状出现较早且较明显。
3、哑铃型:肿瘤跨居中颅窝与后颅窝之间,可由中颅窝向下或由后颅窝向上生长,临床症状兼有上述两型的症状特点。

















