病例2
另一位65岁的老年男性患者,因右下眼睑黑色的小丘疹逐渐增大,前来就诊,做皮肤镜检查提示皮内痣,但患者还是不放心,随后行皮肤病理检查确诊为皮内痣。

临床照片

皮肤镜照片

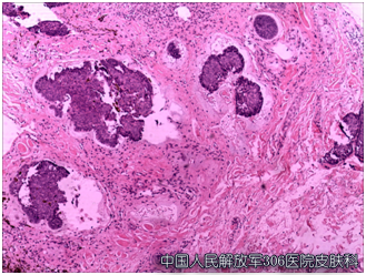
组织病理照片
通过以上两个事例说明皮肤镜在鉴别色素性皮肤肿瘤的良恶性方面具有无痛无创、方便快捷、诊断准确率高等特点,皮肤镜不仅具有放大作用,还能消除皮肤表面的反射光,可以观察皮肤亚微观水平的病理变化,主要体现在对表皮结构、色素、血管以及皮肤附属器异常的观察,该检查项目操作简便、适应证广,尤其在患者不同意或无条件做病理活检时,可在很大程度上弥补仅靠临床肉眼观察的局限性。
解放军第306医院皮肤科开展皮肤镜检查
解放军第306医院皮肤科新引进德国HEINE偏振光皮肤镜,图像清晰,自2015年8月以来,已进行皮肤镜检查600人次,发现过基底细胞癌、Bowen病、恶性黑素瘤等恶性肿瘤。这些肿瘤单纯靠肉眼观察有时不易做出正确诊断,借助皮肤镜可以做到早发现、早诊断。提醒大家,如果身上特别是头面部、手足出现黑色的皮损,请不要大意,及时进行皮肤镜检查。















