四、慢性阻塞性肺疾病的临床表现:
1.症状:
(1)呼吸困难:这是慢阻肺最的症见的症状,常表现为气短、气喘和呼吸费力等。早期仅在劳力时出现,之后逐渐加重,以致日常活动甚至休息时也感到气短。

COPD可引起呼吸困难进行性加重
(2)慢性咳嗽:初起咳嗽呈间歇性,早晨较重,严重时早晚或整日均可有咳嗽。

COPD患者慢性咳嗽
(3)咳痰:咳嗽后通常咳少量黏液性痰,部分患者在清晨较多,合并感染时痰量增多,常有脓性痰;

COPD患者咳痰增多
(4)喘息和胸闷:部分患者伴有喘息。

部分COPD患者伴有的喘息症状
(5)其他症状:体重下降、食欲减退、外周肌肉萎缩和功能障碍、精神抑郁和/或焦虑等。
2.体征:
慢阻肺的早期体征可不明显,随着疾病进展,患者常出现桶状胸,低氧血症患者可出现黏膜和皮肤发绀,伴有右心衰竭的患者可见下肢水肿和肝脏增大。


COPD患者的桶状胸体征
3.辅助检查:
(1)肺功能检查:对慢阻肺的诊断、严重程度评价、疾病进展、预后及治疗反应等均有重要意义。


肺功能检查对COPD的诊断及分期极为重要
(2)脉搏氧饱和度(oxygen saturation,SpO2)监测和血气分析:呼吸衰竭的血气分析诊断标准为海平面呼吸空气时SpO2<60 mmHg,伴或不伴有动脉二氧化碳分压PaCO2>50 mmHg。
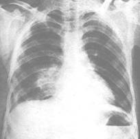
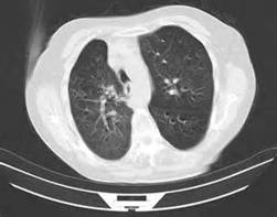
(3)胸部X线检查:慢阻肺早期X线胸片可无明显变化,以后出现肺纹理增多和紊乱等非特征性改变;主要X线征象为肺过度充气:肺容积增大,胸腔前后径增长,肋骨走向变平,肺野透亮度增高,横膈位置低平,心脏悬垂狭长,有时可见肺大疱形成。


COPD患者影像学改变












