
“高枕无忧”“不如高卧且加餐”,自古人们就喜爱用“高”形容睡的安逸睡的踏实,但睡高枕头真的好吗?
都知道,我们一生有三分之一的时间是在床上度过,不合适的枕头会严重影响睡眠质量,进而影响白天的工作状态,长此以往还会影响颈椎健康,更加无法安睡。
今天,西南医院康复科的武继祥教授和我们聊聊如何睡的舒服又健康。
1、枕头的作用
枕头不是可有可无的,它支撑颈椎,为保护颈部的正常生理弯曲,维持人们睡眠时正常的生理活动,使颈椎处于“中立”状态,增大接触面积,减少体压,增加睡眠的舒适感。
2、颈椎的生理弧度
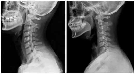
正常情况下,人的颈部呈现一定的弧度,具体表现为向前凸起,如下图左。但是由于一些外因作用,如长期低头伏案工作、埋头玩手机等,造成颈椎过度前屈,从而造成颈椎生理曲度变直,如下图右。

枕头过高也是导致这种颈椎生理曲度变化的外因之一。枕头过高,颈部呈过度屈曲状态,时间久了,会导致颈部周围的韧带受牵拉损伤,最后变得松弛,进一步颈椎的稳定性会减退,造成脊柱失稳。枕头过矮,容易出现打呼噜、落枕的现象,会加重骨质增生。
但若不睡枕头,头的位置就比心脏低,会导致流入头部的血液偏多,影响头部血液循环,血管充盈,管壁受压,醒来后会感到头晕,眼皮浮肿,此外,还容易造成颈椎损伤。
3、枕头的高矮
后枕部和颈部之间的高度差正好能够伸进去一只手,所以我们在选择枕头的时候,经过头部重量压迫以后枕头的高度正好是一只手的高度就行,一般来说,成人以枕头高度在8--12厘米左右为宜。
我们的睡眠姿势主要分成仰卧、侧卧和俯卧三种,成人侧睡时枕高最好高于仰卧时枕高,俯卧时枕头就可以更薄一些。
4、枕头的软硬
过硬的枕头与头的接触面积减少,压强增大,头皮会感到不舒服。反过来,枕头太软,难以保持一定的高度,会导致颈肌过度疲劳及影响呼吸的通畅,不利于睡眠。
枕头稍柔软些,又不失一定硬度的为宜,既减少枕头与头皮之间的压强,又保持不均匀的压力,使血液循环可从压力较小的地方通过,并且保持一定的高度。

5、枕头的优劣
市面上的枕头五花八门,这里为大家分析几类常见的枕头。
(1)羽绒枕
有极佳的柔软度、保温性及弹性,不但质地轻且贴身性好,更具备了丰富的吸湿及放湿性。好的羽绒枕蓬松度好,不会因使用时间久而变形,具有质轻、透气、不闷热的优点。
缺点在于不便于清洗,清洗羽绒枕是一个很庞大的工程,而且部分人群是过敏体质,容易对羽绒枕过敏,因此过敏体质的人不建议使用。
羽绒及羽枝的成分比例会影响枕头的软硬及高低程度,因此选择时可依枕头上的说明做选择,如果喜欢睡起来有一点高度,建议购买2个软硬不同的枕头搭配,将较硬的垫在下面,以获得最舒适的睡眠角度。
(2)化纤枕
这是一种普通的人造纤维制成的枕头,由于化纤材质不太透气,使用久了容易变形结成块儿,缺乏弹性,枕头呈现高低不平的状态。
所以,建议在选购枕头时,不选这种便宜又不实用的枕头。
(3)荞麦枕
用荞麦壳做枕芯,是民间传统使用的枕头,会对预防颈椎病有一定作用。
荞麦壳重量轻,具有坚韧不易碎的菱形结构,而且冬暖夏凉,具有清热祛火的功效。将荞麦枕头里的荞麦淘洗并晒干,可反复使用。
如果荞麦过敏,不喜欢荞麦的味道,可以换成其他材料,如决明子、绿豆、小米、竹叶、菊花等中药材。
(4)乳胶枕
由天然橡树提炼其汁液,再高温发泡而成,质地柔软舒适、弹性佳不易变型,因此对人体颈椎的支撑力也相对提高。乳胶枕表面具有3000多个气孔,看似海绵蛋糕,材质特色在于抗菌性好、使用寿命长、不易变形、支撑力强、易清洗等优点,但价格相对较贵。
天然乳胶由橡树乳汁提炼而成,胶性温和亲肤,特有的清香更能催化人体睡眠因子,是目前最为天然的睡眠素材之一。
(5)记忆枕
记忆枕材质为高密度、吸震、可透气的记忆科技棉,能充分感应人体的重量及温度的特性,利用温度感应下陷可模拟人体的体形而给各部位完全的支撑,让使用者也可以享受无压力的舒适。
独特的温度感应效果、舒适柔软的触感及均匀完整的支撑,可在睡眠时让头部完全放松,无论是仰睡或侧睡都能保持最自然的头姿,更可避免落枕或颈肩肌肉疲劳酸痛的问题。
除了挑个好枕头,也别忽视枕枕头的姿势,不能只枕头部,不枕颈部。
















